Leistungen

Routinehistologie
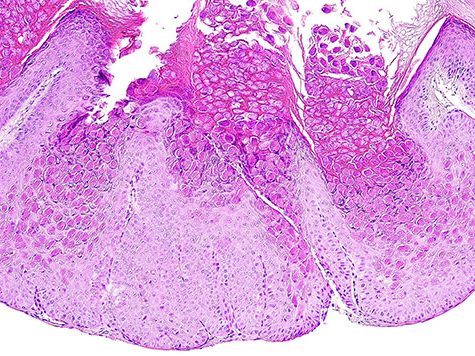
Die meisten Fälle können bereits mit der Standardfärbung Hämatoxylin-Eosin (HE) abschließend befundet werden.
Dies gilt z.B. auch für ein Molluscum contagiosum (s. Foto) mit den charakteristischen viralen Einschlusskörperchen in der verbreiterten Epidermis.

Sonderfärbungen
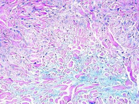
Bei uns werden alle gängigen Sonderfärbungen durchgeführt (z.B. PAS, Alcianblau, Berliner-Blau-Reaktion, Giemsa, Elastika, van Gieson, Ziehl-Neelsen, Kongorot). Eine klassische Anwendung ist beispielsweise der Pilznachweis mittels PAS-Färbung.
Der Nekrobiosebereich eines Granuloma anulare lässt sich z.B. in der Alcianblau-Färbung (Muzinnachweis) erkennen (s. Foto).

Immunhistologie
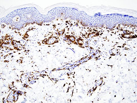
In der Immunhistologie werden spezifische Zellantigene direkt im Gewebeschnitt nachgewiesen. Dieses antikörperbasierte Verfahren wird zur Tumortypisierung, zur Abklärung von Differenzialdiagnosen bei inflammatorischen Erkrankungen und auch zum Erregernachweis eingesetzt.
Auf dem Foto werden z.B. durch eine CD117-Immunmarkierung die vermehrten Mastzellen zum Nachweis einer kutanen Mastozytose detektiert.

Direkte Immunfluoreszenz
Die direkte Immunfluoreszenz (DIF) ist ein insbesondere bei blasenbildenden Autoimmundermatosen angewandtes diagnostisches Verfahren, bei dem mit fluoreszenzmarkierten Antikörpern im Hautgewebe abgelagerte Autoantikörper sichtbar gemacht werden.
Beim Pemphigus vulgaris (s. Foto) zeigt sich dabei z.B. unter dem Fluoreszenzmikroskop ein charakteristisches netzartiges IgG-Muster zwischen den Keratinozyten.
Diese Untersuchung wird in Kooperation mit dem Autoimmunlabor der Klinik für Dermatologie, Allergologie und Venerologie, UKSH, Campus Lübeck durchgeführt.
